Melioidosis / Melioidosis / However, it is important to note that melioidosis has a wide range of signs and symptoms that can be mistaken for other diseases such as tuberculosis or more common forms of pneumonia.

Melioidosis / Melioidosis / However, it is important to note that melioidosis has a wide range of signs and symptoms that can be mistaken for other diseases such as tuberculosis or more common forms of pneumonia.. Melioidosis is a disease caused by bacteria called burkholderia pseudomallei. Melioidosis treatment usually starts with an iv antimicrobial infusion that lasts for a minimum of two weeks, the cdc says. A person in georgia has succumbed to a rare bacterial infection called melioidosis, the centers for disease control and prevention (cdc) announced monday. If melioidosis is suspected, culture blood, urine, throat swab, and, when relevant, respiratory Melioidosis is an often fatal infectious disease caused by the environmental bacterium, burkholderia pseudomallei.melioidosis is often misdiagnosed because it causes wide range of symptoms which often mimic those of other tropical diseases.

Melioidosis is a disease caused by bacteria called burkholderia pseudomallei. Melioidosis is endemic to southeast asia, papua new guinea, much of the indian subcontinent, southern china, hong kong, and taiwan and is considered highly endemic to northeast thailand, malaysia, singapore, and northern australia. It is predominately a disease of tropical climates, especially in southeast asia and northern australia where it is widespread. A person in georgia has succumbed to a rare bacterial infection called melioidosis, the centers for disease control and prevention (cdc) announced monday. Diagnosis requires high suspicion/recognition by treating physicians and confirmation by isolation of b.

What Are The Symptoms Of Melioidosis Cdc Confirms A Second Fatality Health Com
What Are The Symptoms Of Melioidosis Cdc Confirms A Second Fatality Health Com from imagesvc.meredithcorp.io
It stems from bacteria found in contaminated water and. Melioidosis is a disease caused by bacteria called burkholderia pseudomallei. This year to be diagnosed with melioidosis, a disease caused by bacteria that lives in soil and water, according to a statement issued monday by the centers for. It's a deadly condition that can affect both humans and animals. Diagnosis requires high suspicion/recognition by treating physicians and confirmation by isolation of b. Melioidosis is an infectious disease caused by the bacteria burkholderia pseudomallei. While some infections are subclinical, others result in localized acute or chronic disease, or fatal septicemia. Melioidosis is treated with antibiotics.

Melioidosis is an uncommon tropical disease caused by the bacterium, burkholderia pseudomallei (formerly pseudomonas pseudomallei and malleomyces pseudomallei).

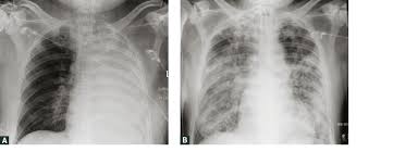
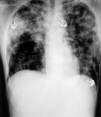
While some infections are subclinical, others result in localized acute or chronic disease, or fatal septicemia. Melioidosis infectionscan present like an infected wound, with swelling or ulcers at the exposure site, but they can also occur in the lungs, the bloodstream or widely spread throughout the body. Melioidosis is an often fatal infectious disease caused by the environmental bacterium, burkholderia pseudomallei.melioidosis is often misdiagnosed because it causes wide range of symptoms which often mimic those of other tropical diseases. It stems from bacteria found in contaminated water and. Melioidosis is an infectious disease caused by the bacteria burkholderia pseudomallei which is found in contaminated water and soil. An accurate map defining the global distribution of b. Because it can affect almost any organ, melioidosis can mimic many other diseases; Melioidosis, also known as whitmore's disease, is a bacterial infection that can affect both people and animals. Melioidosis is predominantly a disease of tropical climates and is spread to humans and animals through direct contact with the contaminated source. Melioidosis infection commonly involves the lungs. What are the symptoms of melioidosis? Melioidosis is a disease caused by bacteria called burkholderia pseudomallei. Melioidosis treatment usually starts with an iv antimicrobial infusion that lasts for a minimum of two weeks, the cdc says.

It is predominately a disease of tropical climates, especially in southeast asia and northern australia where it is widespread. It has potential to spread into areas it is not typically found, and is considered a potential biological weapon, the cdc says. In queensland, infection occurs mainly in north queensland but can occur in southern parts of the state. While some infections are subclinical, others result in localized acute or chronic disease, or fatal septicemia. Pseudomallei from any clinical specimen such as.

What Is Melioidosis Three People In U S Infected With Rare Disease Cdc Says
What Is Melioidosis Three People In U S Infected With Rare Disease Cdc Says from d.newsweek.com
1) (), the organism is commonly found in the. Melioidosis is a serious neglected tropical disease of southeast asia, india, and australia where it is a major cause of pneumonia, abscesses and sepsis. Melioidosis, also known as whitmore's disease, is a bacterial infection that can affect both people and animals. It is predominately a disease of tropical climates, especially in southeast asia and northern australia where it is widespread. Melioidosis is an infectious disease caused by the bacteria burkholderia pseudomallei. There are several types of melioidosis infection, each with their own set of symptoms. And, if the infection is severe, the iv medication may be needed for up. Because it can affect almost any organ, melioidosis can mimic many other diseases;

Melioidosis is a serious neglected tropical disease of southeast asia, india, and australia where it is a major cause of pneumonia, abscesses and sepsis.

Melioidosis is also called whitmore's disease. Pseudomallei is needed, together with studies on the relative importance of different routes of infection. Melioidosis is endemic to southeast asia, papua new guinea, much of the indian subcontinent, southern china, hong kong, and taiwan and is considered highly endemic to northeast thailand, malaysia, singapore, and northern australia. Melioidosis, also called whitmore's disease, is caused by the bacterium burkholderia pseudomallei and primarily is found in tropical climates such as southeast asia and northern australia. And, if the infection is severe, the iv medication may be needed for up. The man was the fourth in the u.s. The disease occurs mostly in tropical areas of the world, primarily southeast asia and northern parts of australia. But what exactly is it and who is at risk?. Health officials are investigating the latest fatal case of a rare tropical disease. The disease is caused by the bacterium burkholderia pseudomallei. Melioidosis is treated with antibiotics. Melioidosis is a disease caused by bacteria called burkholderia pseudomallei. It's a deadly condition that can affect both humans and animals.

Melioidosis is also called whitmore's disease. Melioidosis is an infectious disease caused by the bacteria burkholderia pseudomallei. Melioidosis is treated with antibiotics. Melioidosis is an uncommon tropical disease caused by the bacterium, burkholderia pseudomallei (formerly pseudomonas pseudomallei and malleomyces pseudomallei). Diagnosis requires high suspicion/recognition by treating physicians and confirmation by isolation of b.

Melioidosis Epidemiology Pathophysiology And Management Clinical Microbiology Reviews
Melioidosis Epidemiology Pathophysiology And Management Clinical Microbiology Reviews from journals.asm.org
Pseudomallei from any clinical specimen is considered diagnostic for melioidosis. It is predominately a disease of tropical climates, especially in southeast asia and northern australia where it is widespread. Because it can affect almost any organ, melioidosis can mimic many other diseases; What are the symptoms of melioidosis? The disease occurs mostly in tropical areas of the world, primarily southeast asia and northern parts of australia. Melioidosis infection commonly involves the lungs. Melioidosis is potentially preventable, but there is a striking lack of evidence on which to base an effective prevention programme. Melioidosis is a bacterial disease that affects humans and many species of animals.

Diagnosis requires high suspicion/recognition by treating physicians and confirmation by isolation of b.

The disease occurs mostly in tropical areas of the world, primarily southeast asia and northern parts of australia. An accurate map defining the global distribution of b. It's a deadly condition that can affect both humans and animals. There are several types of melioidosis infection, each with their own set of symptoms. But what exactly is it and who is at risk?. Melioidosis is treated with antibiotics. Melioidosis is predominantly a disease of tropical climates and is spread to humans and animals through direct contact with the contaminated source. In queensland, infection occurs mainly in north queensland but can occur in southern parts of the state. These bacteria can contaminate water. The bug is found in contaminated water and soil. Melioidosis is endemic to southeast asia, papua new guinea, much of the indian subcontinent, southern china, hong kong, and taiwan and is considered highly endemic to northeast thailand, malaysia, singapore, and northern australia. What are the symptoms of melioidosis? Melioidosis, also known as whitmore's disease, is a bacterial infection that can affect both people and animals.